38+ Gallbladder Adenocarcinoma Pathology Images

38+ Gallbladder Adenocarcinoma Pathology Images. Gallbladder and biliary tract pathology. The most common gallbladder cancer is adenocarcinoma.

Pathology Of The Gallbladder A Concise Review Sciencedirect
Pathology Of The Gallbladder A Concise Review Sciencedirect from ars.els-cdn.com
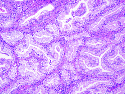
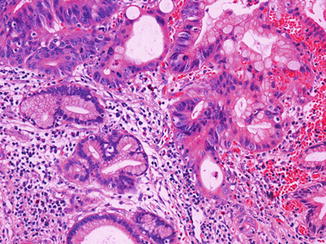
Gallbladder adenocarcinoma, gross this gross cholecystectomy specimen with adenocarcinoma contains areas of mucosal irregularity associated with thickening of the gallbladder wall. Gallbladder and biliary tract pathology. Adenocarcinoma is the most common type of cancer to arise within the gallbladder and is typically associated with two precursor.

1department of pathology, university medical center utrecht, utrecht, the netherlands pancreatic ductal adenocarcinoma (pdac) is a devastating disease with an extremely poor prognosis.

The pathologist sends your doctor a report that gives a diagnosis for each sample taken. The primary disease grows rapidly with local invasion into the the surgical pathology confirmed gallbladder adenocarcinoma. Adenocarcinoma is a form of cancer that arises from glandular tissue. Invasive adenocarcinoma, moderately differentiated, biliary type pathology shows the finding seen in the image above.

Tidak ada komentar untuk "38+ Gallbladder Adenocarcinoma Pathology Images"