View Squamous Cell Carcinoma Urinary Bladder Radiology PNG

View Squamous Cell Carcinoma Urinary Bladder Radiology PNG. Because many urothelial carcinomas contain a minor squamous cell. Report of a rare entity and systematic review pure squamous cell carcinoma of the urinary tract is often assumed to be associated with.

Https Www Ajronline Org Doi Pdf 10 2214 Ajr 08 1318
Https Www Ajronline Org Doi Pdf 10 2214 Ajr 08 1318 from
Squamous cell carcinoma of the skin. Wasserman, md ●adrian m 1from the department of radiology, university of minnesota, minnesota veterans administration mous cell carcinoma (1). Squamous cell carcinoma accounts for only 3 to 7% of bladder cancers in western countries, but in certain countries where parasites are very common (especially schistosomiasis) it is found much more frequently.

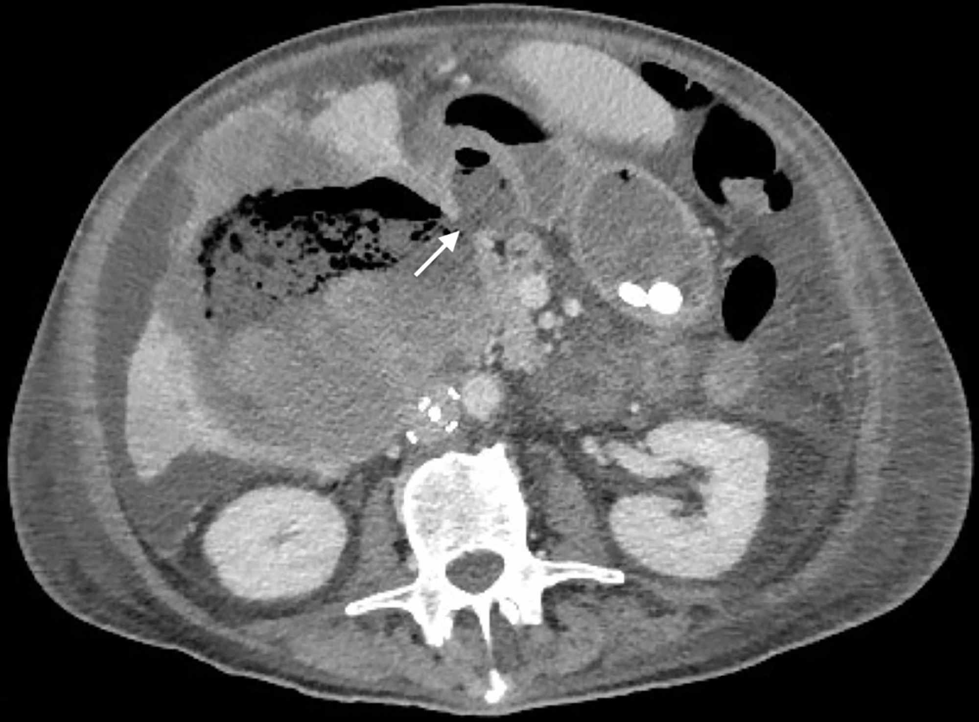
Squamous cell carcinoma of the urinary bladder is a malignant neoplasm derived from bladder urothelium with pure squamous phenotype.

Which can arise from a urachal remnant? Squamous cell carcinoma of the urinary bladder is a malignant neoplasm derived from bladder urothelium with pure squamous phenotype. It is associated with keratinizing squamous metaplasia. The diagnosis of squamous cell carcinoma of the bladder should be reserved for those tumors that are predominantly keratin forming.